
Left-hand hippocampus and amnestic problems
Introducction
Memory is a functional system pretty complex that it develops at a series of successive sectors and that it gets organized in different levels, it can circumscribe itself like the capacity of fixing or registering events and information and of evoking them or using them when it is necessary, tapping different cerebral systems that work of relatively autonomous shape but related among themselves. The brain has million connections that join thousands of million neurons and each union it is a potential by memory, this human memory is selective, that's to say, the themes that work out of concern they retain themselves better.
Memorization comes from the association between a group of nerve cells, the biology of memory is based on the synaptic plasticity between them, when one of them shoots at each other he activates the rest by means of neurotransmitters like the glutamate, creating the short-term memory for oneself, the repetition of this fact creates long-term memory because how many plus times activate him a group of nerve cells determined more increases the tendency to do it again and a chemical change on the surface of each nerve cell that leaves her to more sensitive a new stimulation appears.
There exists the short-term or work memory that lasts for second or scarce minutes and another one in the long term, data and doings that go on record by means of the neuronal above-mentioned activation, that he shares in the declarative, episodic or events and semantic or knowledge memory, In like manner, the memory not declarative exists and another of qualifications and habits. We have to separate the memory from intelligence, because the patients with amnesia have a defect of the memory that makes impossible the fixing of new information, in like manner, problems to procure the information right now stored will exist.
But they are able to reason because his intellectual coefficient does not suffer changes, besides, the upsets of memory are one of the most frequent complaints of the patients with cerebral injuries and, in turn, of the old men but preserving the rest of qualifications within logical limits.
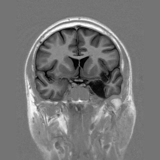
The functionality of memory resides fundamentally in the medial temporal lobe, being the hippocampus a crucial zone for the phase of memorization, and the neocortex for storage, which is why the deterioration of this encephalic fraction originates the amnestic, different- degree syndrome depending on the part and the extension of the injury. With alteration of the declarative memory when the left-hand hippocampus is affected, being the most evident deterioration in the anterograde memory (what goes succeeding after the brain damage) although, the retrograde memory (what is right now registered) can also fail, now then, memory not declarative he keeps in good condition so that the person holds qualifications or simple habits as driving a bicycle or more complexes like managing programs of information technology.
The importance of the hippocampus in the declarative memory, attested for Ramon Y Cajal in 1910, became patent with HM's case in 1953, epileptic refractory patient to the treatment, that he was a resection submittedly that the hippocampus losing the capacity of storing new information included but that, however, maintained their habits and skillful actions motive, what the fact that the left-hand hippocampus's damage creates harsh problems for the storage of new reports confirms, so much of names as of numbers. The cerebrovascular traumatisms are at present the causes of the great majority of amnestic processes, most of all in young people, to minor level tumors and encephalitis, between other causes like the Alzheimer's disease that often he debuts with the loss by heart for atrophy, generally bilateral, of the hippocampus.
We counted on various diagnostic specific proofs, like the tomography for emission of positrons, the magnetic functional resonance or the magnetoencephalography, existent in few sanitary centers, that they can determine the mnestic deterioration that does not manage to evaluate with intervening efficacy in the neuropsychological proofs.
Conclusions
I already have exposed in the introduction than the participation of the temporomedial lobe in the memory and, especially, of the left-hand hippocampus, it has been well-established in from the clinical case deep amnesia in the patient H.M, but still keep on existing a pretty frequent error that it regards as indispensable requirement the hippocampus's bilateral injury in order that the amnestic syndrome appears.
For it I want to manifest that the semantic or declarative memory is based on the perfect coordination of the left-hand temporomedial lobe [1], functionally heterogeneous with different functions from memory, that are associated with different cerebral structures, and where the hippocampus is located, since precise studies have checked the opportune implications to understand the papers of different regions of the quoted part of the temporal lobe in the perfect mnesic coordination.
Besides, an additional discovery determines than when the damage of the temporomedial lobe extends itself beyond the hippocampus it is accompanied by additional deficits, so much space them like sequential. Various studies contribute the conclusion that all the types from memory would be altered in the patients with amnesia originated, fundamentally, by the hippocampus's upsets like, for example, the encephalomalacia. In short, the temporomedial lobe is basic for the coordination of different types of memory like the declarative, but, in the left-hand hippocampus it is where the neurotransmitters that coordinate the exposition to the exterior of the quoted semantic memory associate themselves.
Ever since it has been investigated in full detail, than what an innumerable quantity of studies has come from, but, with substantial differences in the determination of the base problem that the amnesia provokes, not only that, unfortunately, many of these studies have examined only a kind of memory or the fusion of multiple classes of relations, so much space, associative or sequential, although they may have developed assessments separately using the same material.
Definitively, the tasks of verbal semantic fluidity imply the activation of the language, the semantic memory, with the search of the word or number, the other post office box fix it the memory of work and the one of executive functions, and it is proven than the injuries of the medial circumvolutions of the left-hand temporal lobe that extend to the hippocampus's zone, with atrophy of the white matter and of the grey matter they trigger [2], especially, an amnestic syndrome with semantic dysnomia.