Revista Electrónica de PortalesMedicos.com

Imágenes

 

 

 

Serie Fotográfica: Estómago y Duodeno

    Índice de imágenes

Divertículo antral prepilórico.
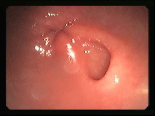
Divertículo gástrico prepilórico.

<- Anterior

Siguiente ->

 

AVISO: Esta sección ha sido remodelada.

Visite la nueva sección de publicaciones en la dirección http://www.portalesmedicos.com/publicaciones en la que encontrará más publicaciones.