Eventracion diafragmatica. Caso clinico .1
Eventración diafragmática. Caso clínico
Dr. Manuel Sosa Rivera. Especialista de Primer Grado en Imagenología. Profesor Instructor. MINSAP
Palabras Clave: Eventración diafragmática.
Resumen:
La eventración diafragmática cursa con una elevación anormal del diafragma a consecuencia de atrofia, aplasia o parálisis de las fibras musculares del diafragma. Puede ser total o parcial y suele estar localizada en el hemidiafragma derecho. En casos congénitos puede faltar el nervio frénico o estar displásico.
La eventración adquirida se debe a la lesión del nervio frénico a causa de un traumatismo durante el parto. Muchos de estos recién nacidos presentan parálisis de Erb.
La eventración diafragmática también puede estar originada o ser causada por el absceso subfrénico y lesión quirúrgica intratorácica.
Presentación del caso
Paciente de 43 años del sexo masculino, que acude al cuerpo de guardia con el antecedente de sufrir de procesos inflamatorios bajos a repetición acompañados de falta de aire de forma leve, que le dificulta en su quehacer diario. Al realizar el examen físico se constata a la auscultación murmullo vesicular abolido en la base derecha con presencia de ruidos hidroaéreos, a la percusión se observa matidez y frecuencia respiratoria de 21 por minuto.
Se interroga al paciente y no encontramos antecedentes de traumatismos anteriores, ni fracturas costales. Refiere que desde hace más menos 2 años viene presentando infecciones del tractus respiratorio a repetición para lo cual ha llevado tratamiento antibiótico.
IMAGENOLOGÍA
Se realiza radiografía (Rx) de tórax que informa: una cúpula diafragmática elevada de manera significativa, los ángulos costofrénicos y los canales posteriores están profundizados, estrechados y bien definidos. Se comparan con las radiografías previas para determinar la cronicidad. Las radiografías de tórax en decúbito realizadas fueron útiles para descartar el derrame subpulmonar.
Se utiliza el examen ecográfico para el estudio de la parálisis o paresia, donde el movimiento paradójico estaba disminuido o nulo indicando una prueba positiva al igual que el balanceo mediastínico hacia el lado paralizado durante la espiración durante la radioscopia.
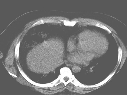
Se realiza Tomografía Axial Computarizada (TAC) multicorte observándose eventración diafragmática derecha situada hasta el límite del lóbulo medio con el lóbulo superior, integridad del diafragma, paso de órganos sólidos como el hígado y otros huecos como asas colónicas del ángulo hepático, desplazamiento de las estructuras del mediastino y corazón hacia el pulmón contralateral izquierdo. (Figuras 2 y 3).
ANEXOS
Figura 1. TAC. Topograma. Eventración diafragmática derecha. Atelectasia laminar.

Figura 2. TAC. Ventana mediastínica. Asas intestinales e hígado. Con desviación de estructuras del mediastino y corazón hacia el pulmón contralateral izquierdo.

Figura 3. TAC. Ventana pulmonar. Asas intestinales e hígado. Con desviación de estructuras del mediastino y corazón hacia el pulmón contralateral izquierdo.

BIBLIOGRAFÍA
1. Akay TH, Ozkan S, Gultekin B, et al. Diaphragmatic paralysis after cardiac Surgery in children: incidence, prognosis and surgical management. Pediatric Surg Int 2006; 22: 341-6.
2. Joho-Arreola A, Bauersfeld U, Stauffer U, et al. Incidente and treatment of diaphagmatic alter cardiac surgery in children. Eur J Cardiothorac Surg 2005:27: 53-7.
3. Tsugawa C, Kimura K, Nishijima E, et al. Diaphragmatic eventration in Infants and children: is conservative treatment justified? J Pediatric Surg 1997;32 (11): 1643-4.
4. Deslauriers J. Eventration of the Diaphragm. Chest Surg Clin North Am 1998, 8: 315-30.
5. Dillon E, Renwich M, Wright C. Congenital diaphragmatic herniation: antenatal detection and outcome. Br J Radiol 2000; 73 (868): 360-5.
6. Kimura K, Tsugawa C, Matsumoto Y, et al: Use of pledget in the repair of diaphragmatic anomalies. J Ped Surg 26 (1): 84-86, 1991.
7. Abad P, Lloret J, Martinez Ibañez V, et al: Parálisis diafragmática: patología al alcance del cirujano pediátrico. Cirugía pediá2. Tsugawa C, Kimura K, Nishijima E, et al. Diaphragmatic eventration in infants and children: is conservative treatment ustified? J Pediatric Surg 1997; 32: 1643–4.
8. Reilingh V, Koens B, Vos A. Surgical treatment of diaphragmatic eventration caused by phrenic nerve injury in the newborn. J Pediatr Surg 1998; 33: 602-5.
9. Hartman G, Hernia Diafragmática. En Nelson Tratado de Pediatría 15ª Ed. Madrid: Mc Craw –Hill- Interamericana; 1997 p 1460-1461.
10. Tsuji M. Traumatismo obstétrico. In: Cloherty J, Star KA. Manual de Cuidados Neonatales. 3ª Ed. Barcelona: Masson, 1999: 256-7.
11. Kizilcan F, Tanyel C, Hicsonmez A, et al. The long term trica 14 (1): 21-24, 2001.