Diagnostico imagenologico precoz de hidrocefalia posibilita rapida intervencion. Caso clinico.2
Hidrocefalia. Se observa evidente dilatación del sistema ventricular, los cuernos frontales de los ventrículos laterales miden 26 mm y además hay dilatación de los cuernos temporales.
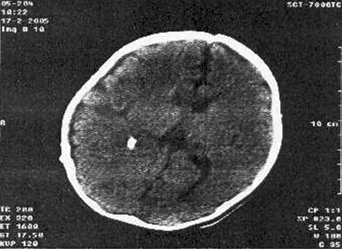
La tomografía computarizada de urgencia coincidió con el resultado anterior y descartó signos de edema cerebral y lesiones con efecto de masa, observándose diástasis de suturas (imagen 2).
Imagen 2. Tomografía computarizada.

Incremento marcado del volumen de líquido cefalorraquídeo (LCR) y dilatación de cavidades ventriculares. Obsérvese la diástasis de suturas en lactantes con hidrocefalia.
La intervención rápida del Neurocirujano pasadas dos horas posibilitó el regreso rápido del cuadro antes descrito al colocarle un Sistema de Derivación Ventrículo-Peritoneal utilizando una válvula de presión media que tiene como objetivo mantener en valores normales la presión intracraneal, pasados 7 días la tomografía computarizada evolutiva reveló que el sistema ventricular era normal sin signos de atrofia cerebral (imagen 3).
Imagen 3. Tomografía computarizada evolutiva

En concordancia con la mejoría clínica, siete días después vemos que la imagen ha regresado prácticamente a la normalidad. Catéter de derivación ventrículo-peritoneal (DVP) en cuerno occipital derecho.
Discusión
La hidrocefalia en el 90% de los casos se presenta en el primer año de vida principalmente motivada por hemorragia intracraneal en el prematuro, malformaciones congénitas y por meningitis, siendo después de los 3 años de edad la causa más frecuente los tumores.
Hasta el advenimiento de los shunts (57 años atrás), la hidrocefalia era usualmente fatal, en los últimos años se ha avanzado en la comprensión del mal funcionamiento valvular con una mayor información de los cambios hemodinámicas y metabólicos que ocurren en el cerebro incluyendo el tratamiento por ventriculostomía endoscópica del tercer ventrículo como intentos técnicos de combatir esta condición en caso de las no comunicantes u obstructivas. Como se comentó anteriormente el cuadro clínico se relaciona directamente con la presencia de hipertensión endocraneana, el tiempo de instalación del cuadro como agudo o crónico y la edad del paciente. La confirmación del diagnóstico clínico se hace con ecografía cerebral, tomografía computarizada, cisternogammagrafía e imagen de resonancia magnética.
En nuestro caso se diagnosticó hidrocefalia aguda adquirida como complicación de una meningitis bacteriana en un paciente varón de 3 meses que una semana antes había sido admitido y tratado en la unidad de cuidados intensivos pediátricos de nuestro hospital como complicación de la sepsis, en presencia ahora de un cuadro de irritabilidad que alternaba con somnolencia, vómitos, fontanela anterior hipertensa y el aumento del perímetro cefálico. La ecografía cerebral reveló el marcado aumento de los diámetros de los ventrículos laterales en sus cuernos frontales, temporales y occipitales, lo que además aumentaba la relación ventrículo- hemisférica (Índice de Evans), por incremento del volumen de líquido cefalorraquídeo observado en la imagen 1, esta modalidad de neuroimagen es además la ideal para evaluar la presencia de ventriculitis por revelar los tabiques o bandas intraventriculares como complicación de ependimitis. La tomografía computarizada de cráneo (imagen 2) confirmó el diagnóstico ecográfico y descartó el edema cerebral y lesiones con efecto de masa, por ejemplo los abscesos yuxtadurales que por estar próximos a la convexidad no se visualizan bien por ecografía.
A nuestro paciente le fue colocado un sistema de derivación Ventrículo-Peritoneal el más usado por su alta efectividad, que posibilitó la regresión inmediata de la sintomatología y signos observados pues el acto quirúrgico se realizó dos horas después de la tomografía computarizada y una semana más tarde la tomografía computerizada (TC) evolutiva corroboraba el diámetro normal del sistema ventricular y por supuesto el líquido cefalorraquídeo (LCR) en niveles normales, con el catéter de derivación bien colocado (imagen 3).
Pienso que el buen resultado obtenido fue gracias a la rápida comunicación del equipo interdisciplinario de nuestro hospital que actuó con pericia. Actualmente el paciente se mantiene asintomático con el seguimiento que corresponde, sin alteraciones de su neurodesarrollo, tiene 3 años de edad y aunque el pronóstico es reservado somos optimistas porque lo que hasta ahora hemos logrado es muy alentador.
Referencias bibliográficas
1-Andranik M, Conway E. cerebrospinal fluid shunt problems in pediatric patients. Pediatr Annals 2000; 26:613-620.
2-Lannecelli J, Malla I, Vidoni D, Machi P, Arecera E, Cruz C. et. al. Hdrocefalia externa idiopática: una causa de macrocefalia en niños normales. Arch Argent. Pediatr (Arg) 2002, 100 (5) :394-397
3-Medina L. S, Frawley K, Zurakocuski D, Buttras D, De Graun A, Crone K R. et. al. children with macrocrania: clinical and imaging predictors of disorders requiring surgery. Am Neuroradiol. 2002; 22: 564 – 70
4-Livingston J, Tyagi A, Chumas P: Hidrocefalia: ¿qué hay de nuevo? Arch Dis child fetal Neonatal Ed. 2002, 85: f 149 - f 154.
5-Díaz Padilla C, López Vázquez G, Diego Pérez Ramírez J, Palacio Salcedo G. et. al. Hidrocefalia, derivación ventricular y ependimitis (parte I). Enf Infec y Micro (Mex) 2003; 23(2) : 38 – 43.
6-Chumas P, Tyagi A Levingston J. Hydrocephalus what‘s new? Arch dis child fetal Neonatal. 2003; 85: f 149 – f 154
7-Ventriculostomía Endoscópica del Tercer Ventrículo (Endoscopic Third Ventriculostomy ) (en línea ) 2004 (fecha de acceso 5 Enero del 2008) URL disponible en: http://www.cincinnatichildrens.org