Mixoma cardiaco en la pared del ventriculo izquierdo.
Mixoma cardiaco en la pared del ventriculo izquierdo. Pruebas complementarias y tratamiento quirúrgico.
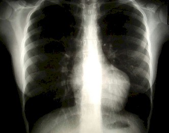
1. Radiografía Tórax: se evidencia cardiomegalia, rectificación del borde izquierdo del corazón y campos pulmonares normales.

2. Ecocardiografía Transtorácica: masa de densidad no homogénea en la pared del ventrículo izquierdo, válvulas cardiacas normales y función ventricular normal.

3a y 3b. Resonancia Magnética Nuclear: masa de 5.6 x 3.6cm en la pared del ventrículo izquierdo sin causar obstrucción del salida del ventrículo izquierdo.


4. Coronariografía: normal a excepción de la distorsión de la arteria descendente anterior (DA) y la vascularización anormal en el área entre la DA y la primera diagonal.
