Hernia diafragmatica congenita. Presentacion de caso clinico .1
Hernia diafragmática congénita. Presentación de caso clínico
Dr. Carlos A. Cardoso Del Álamo. Pediatra. Hospital San Agustin. Linares
Dra. Antonia P. León Asencio. Pediatra. Hospital San Agustín. Linares
Dr. Víctor Zapata Rueda. Médico. Hospital San Agustín. Linares
Resumen:
La hernia diafragmática congénita es una emergencia neonatal a la cual hay que tener en cuenta en un recién nacido con dificultad respiratoria severa en el postparto inmediato. Se produce por alteración del cierre incompleto de la membrana pleuro-peritoneal, puede ir acompañada de otras malformaciones fetales e hipoplasia pulmonar, dependiendo su pronóstico del grado de estas, siendo su corrección mediante intervención quirúrgica. Su diagnóstico puede ser prenatal por medio de una ecografía de rutina o en caso de ser postnatal se debe actuar de inmediato, por estar seriamente en riesgo la vida del paciente.
Palabras Clave: Hernia Diafragmática
Introducción:
La hernia diafragmática congénita se produce por la falta del cierre de la membrana pleuroperitoneal en la 8ª semana de gestación con defecto de la porción posterolateral del diafragme (Hernia de Bochdalek) 80% es izquierda. Puede asociarse a otras anomalías (atresia esofágica, anomalías del tubo neural, cardiopatías, hipoplasia pulmonar, malrotación y alteraciones cromosómicas como trisomía 18, 21, 13.
Tiene una mortalidad que va del 25 al 80% y una frecuencia de 1/2000 –5000 recién nacidos, más frecuente en varones que mujeres
El cuadro clínico puede presentarse como:
• Insuficiencia Respiratoria Severa desde el nacimiento, con polipnea, quejido, aleteo nasal y retracción costal
• Disminución o ausencia de murmullo vesicular
• Ruidos hidroaéreos (RHA) en tórax
• Desplazamiento de ruidos cardiacos al lado contralateral
Diagnóstico Prenatal: Ecografía rutina
Diagnóstico Postnatal: Radiografía (Rx) tórax AP y cuadro clínico
Diagnóstico Diferencial: quistes congénitos de pulmón – neumotórax
Tratamiento inmediato
• Intubación orotraqueal (TET)
• Sonda nasogástrica (SNG)
• Saturación de Oxígeno
• Ventilación Convencional o de Alta Frecuencia
• Corregir acidosis con bicarbonato
Tratamiento Definitivo
• Cierre Quirúrgico
Presentación de caso clínico:
Recién nacido varón, que nace por Cesárea, SGB +, Transaminasas Maternas elevadas.
Apgar 6 / 7
Peso 3670 gramos, talla 51 centímetros.
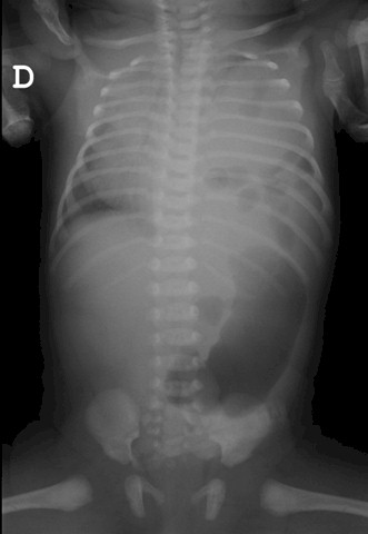
Presenta, en el postparto inmediato, dificultad respiratoria con cianosis, aleteo nasal, quejido, tiraje intercostal, crepitantes bibasales, disminución de entrada de aire y del murmullo vesicular en hemitorax Izquierdo.

Imágenes radiográficas donde se aprecia consolidación en hemitorax izquierdo e imágenes hidroaéreas con desplazamiento mediastino al lado contralateral
