Caso clinico. Infarto intestinal con oclusion de la arteria mesenterica superior .1
Caso clínico. Infarto intestinal con oclusión de la arteria mesentérica superior
Dr. Oswald Londono, MD, Phd; Susana Pacreu, MD.
Centre Mèdic i Cardiològic Dr. Londono, Barcelona
Palabras clave: infarto mesentérico; obstrucción de la arteria mesentérica; isquemia intestinal; trombosis intestinal.
Infarto mesentérico
La isquemia o infarto de las arterias mesentéricas ocurre cuando una de las tres arterias que se originan en la aorta se obstruye y evitando de este modo la irrigación del intestino grueso y delgado. Se observa en pacientes con patología coronaria, enfermedad vascular periférica, hipertensión, es común en fumadores y en pacientes con hipercolesterolemia importante.
Intestinal Ischemia
The ischemia or infarction of the mesenteric arteries can happen when one of the three arteries, becoming from aorta can not supply enough blood for the circulation to the large and small intestine, producing ischemia and infarction. It’s observed in patients with coronary heart disease, vascular peripheral disease, hypertension, in smokers and in patients with high cholesterol levels.
PRESENTACIÓN DEL CASO
Paciente de 75 años de edad que ingresa al Hospital con el diagnóstico de dolor abdominal.
Se había visitado antes en urgencias de un Hospital comarcal por la misma clínica y se le había recetado un antiácido, dolor que mejoró parcialmente. Fue dada de alta a su domicilio.
Antecedentes patológicos:
1. Sin alergias medicamentosas conocidas.
2. Hipertensión arterial (HTA)
3. Diabetes Mellitus en tratamiento con antidiabéticos orales (ADOS).
4. Portador de marcapasos por bloqueo aurículo-ventricular (BAV).
5. Cardiopatía isquémica: cateterismo cardíaco hecho hace 5 días, por dolor torácico y abdominal al ingreso. Se implantó un stent a la arteria circunfleja.
Enfermedad actual: dolor abdominal en aumento que le recordaba al dolor de hacía 5 días, relacionado con su cardiopatía isquémica. No vómitos ni diarreas, no fiebre.
Fue derivado al Hospital de referencia y a la exploración: dolor a zona epigástrica, abdomen blando, depresible, no signos de peritonismo, con Blumberg dudoso y peristaltismo presente. La paciente solicitó derivación al hospital de su mutua privada. Diagnóstico de derivación: ulcus perforado vs. cardiopatía isquémica.
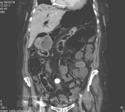
Allí se realiza TAC abdominal con contraste que evidencia un defecto de repleción en arteria mesentérica superior. Asas de ID dilatadas con neumatosis intestinal y aire en sistema portal y vasos mesentéricos secundario a infarto y necrosis intestinal.
Calcificación mesentérica compatible con adenopatía o tumor carcinoide. Dilatación del colédoco, quistes renales, infiltrados bibasales pulmonares (figura 2).
Como conclusión: infarto intestinal con oclusión de la arteria mesentérica con stop vascular superior proximal a bifurcación aorto-mesentérica, con signos indirectos de isquemia evolucionada de todo el intestino delgado (aerobilia, neumatosis intestinal con preservación únicamente del marco cólico, gas libre intravascular mesentérico) (figura 1).
La paciente no era candidata a cirugía y se decidió comentar con la familia de la gravedad de la situación. Se tomaron medidas de conforte clínico. Falleció tres horas más tarde.

Figura 1. Aerobilia, neumatosis intestinal con preservación únicamente del marco cólico, gas libre intravascular mesentérico

Figura 2. Defecto de repleción en arteria mesentérica superior. Asas de ID dilatadas con neumatosis intestinal y aire en sistema portal y vasos mesentéricos secundario a infarto y necrosis intestinal.
INFARTO DE LAS ARTERIAS MESENTÉRICAS.
La isquemia o infarto de las arterias mesentéricas ocurre cuando una de las tres arterias que se originan en la aorta se obstruye y evitando de este modo la irrigación del intestino grueso y delgado.
Se observa en pacientes con patología coronaria, enfermedad vascular periférica, hipertensión, es común en fumadores y en pacientes con hipercolesterolemia importante. Otra causa es la enfermedad embolígena cardiaca secundaria a fibrilación auricular.
Clínica crónica: dolor abdominal agudo post prandial, acompañado de diarreas, a veces vómitos.
Clínica aguda: dolor abdominal intenso y súbito, diarreas y vómitos.
En los análisis es frecuente observar leucocitosis exagerada y cambios en el pH de la sangre.
La tomografía es la herramienta de diagnóstico. En ella podemos observar la zona de obstrucción, un intestino con aire.
Tratamiento: es de urgencia quirúrgica. El objetivo es la trombectomía o una derivación hacia el tejido sano. Crear una anastomosis hacia la aorta (tubo plástico).
Otra alternativa: colocar un stent a la mesentérica afectada.
Pronóstico:
Si hablamos de una isquemia crónica, después de la cirugía se aprecia una mejoría significativa con un pronóstico muy benigno. Hay que recordar que la enfermedad de las arterias no se cura con la cirugía, motivo por el cual el paciente debe continuar con una dieta balanceada.
Cuando la clínica es aguda el pronóstico es muy grave, pues la isquemia del intestino es muy rápida y si no se opera la muerte llega a las 4 horas.