Uso retrogrado de los clavos intramedulares acerrojados en lesiones complejas del miembro inferior 3
				
				 Caso 1. Intramedular retrogrado para fractura terco medio del fémur y tornillo compresivo en fractura intercondílea.
 
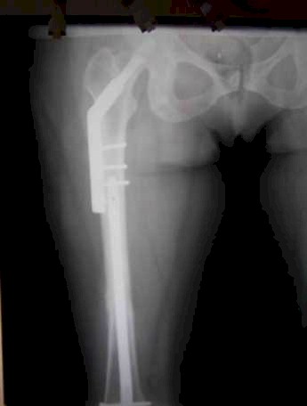
 Caso 1. DHS en fractura intertrocantérica e intramedular retrogrado para fractura tercio medio del fémur. 
 
 
Caso 1. Intramedular retrogrado en fémur y tornillo compresivo para fractura intercondílea. 
 
 
Caso 1. DHS en fractura intertrocanterica e intramedular retrogrado para fractura tercio del fémur con signos de consolidación. 
 