Mielolipoma suprarrenal gigante. A proposito de un caso clinico .1
Mielolipoma suprarrenal gigante. A propósito de un caso clínico.
Dra. Sandra Alba Rodríguez. Especialista de Primer Grado en Medicina General Integral. Especialista de Primer Grado en Imagenología. Master en Los Procederes Diagnósticos en la Atención Primaria de Salud. Instructora.
Dra. Mayda Cisneros Rubalcaba. Especialista de Primer Grado en Imagenología.
RESUMEN
El mielolipoma suprarrenal es un tumor raro, benigno, de lento crecimiento, compuesto por tejido graso y elementos hematopoyéticos. Suele diagnosticarse de manera incidental, aunque se han descrito casos de pacientes sintomáticos, e incluso hemorragias retroperitoneales por rotura en los de mayor tamaño. Se ha descrito su asociación con obesidad, hipertensión arterial (HTA) y disfunción suprarrenal. Presentamos un paciente diagnosticado de mielolipoma suprarrenal derecho asintomático.
INTRODUCCIÓN
El mielolipoma suprarrenal es un tumor raro, benigno, no funcionante y de lento crecimiento, compuesto por tejido graso y elementos hematopoyéticos. La incidencia en autopsias es de 0,08 a 0,2%(1).
La localización suele ser intraadrenal, aunque se han descrito casos de localización extraadrenal, fundamentalmente a nivel pélvico (2). Puede asociarse a patologías endocrinas, tales como obesidad, síndrome de Cushing o enfermedad de Addison (3). Los tumores no superan normalmente los 5 cm de diámetro y se comportan de manera asintomática. El diagnóstico se realiza mediante ecografía o TC, normalmente de forma incidental (4). Los tumores grandes pueden presentar síntomas, fundamentalmente dolor abdominal, estreñimiento o vómitos (4). Más raramente, se puede producir una hemorragia retroperitoneal espontánea, en los casos de mayor tamaño (5).
Presentamos el caso de un paciente diagnosticado de mielolipoma suprarrenal.
Su etiología no está clara, barajándose varias hipótesis como:
1) La metaplasia de células suprarrenales y mieloides que migraron en la fase de embriogénesis, siendo esta la teoría más aceptada,
2) Hematopoyesis extramedular.
3) Embolización de elementos de médula ósea.
En raras ocasiones se originan en estructuras extra-adrenales como retroperitoneo, tórax o pelvis. Se han descrito cuatro patrones clínicos radiológicos:
1) Adrenal aislado,
2) Adrenal con hemorragia,
3) Extraadrenal (retroperitoneo, tórax, pelvis) y
4) Asociado a otras alteraciones suprarrenales (5).
CASO CLÍNICO
Presentamos el caso de una mujer de 44 años, con antecedentes de retardo mental.
Rx de tórax: muestra una elevación del hemidiafragma derecho y discreta opacidad homogénea del parénquima pulmonar difusa en vidrio deslustrado sugestiva de fibrosis pulmonar.
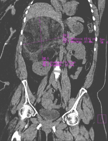
Ecografía abdominal con riñones de tamaño y morfología normal, objetivándose masa en suprarrenal derecha de 12x10 cm, hiperecoica, heterogénea, bien delimitada, compatible con mielolipoma. Se confirmó mediante TC, que mostraba una masa ovalada, bien delimitada, extensa, mixta en proyección de la glándula suprarrenal derecha con densidad predominantemente grasa de -114 UH de 14,7 x 13,6cm entre el hígado y el riñón derecho que impresiona depender de la glándula suprarrenal que provoca desplazamiento del riñón hacia abajo y se acompaña de componente sólido, formando pseudotabiques sin calcio ni signos de sangrado.
En mayo de 2010 ingresó en el centro diagnostico integral con dolor costal derecho, malestar general, palidez mucocutánea y signos de disfunción respiratoria.
En la analítica presentaba Hemoglobina 8,3 g/dL, Hematocrito 25%, Leucocitos 12.180 (neutrófilos 90,3%). Enzimas y estudio de coagulación normales. Se realizó TC abdominal que mostró un mielolipoma suprarrenal derecho (fig. 2).
Dada la existencia la existencia de sintomatología respiratoria, en un paciente con antecedentes de retardo mental, se realizó TAC torácica para descartar posible neumopatía inflamatoria, TAC abdominal y una biopsia renal.
El estudio anatomopatológico mostró una gran masa suprarrenal de 12 x 8,9 cm, compuesto por corteza, cápsula y tejido adiposo. Microscópicamente se observó tejido adiposo maduro e islas de tejido hematopoyético formado por precursores mieloides y eritroides, con megacariocitos.
MIELOLIPOMA SUPRARRENAL GIGANTE (figura 1)
