Diagnóstico y complicaciones de la hidatidosis abdominal.
AUTORES:
Rocío Lerma Ortega - F.E.A. de Radiodiagnóstico del Hospital Valle de los Pedroches de Córdoba
Luz Altagracia Rivera Alcántara - F.E.A. de Radiodiagnóstico del Hospital Valle de los Pedroches de Córdoba
Daniel J. López Ruiz -. E.A. de Radiodiagnóstico del Hospital Valle de los Pedroches de Córdoba
Margarita Pedrosa Garriguet - Residente de Tercer año de Radiodiagnóstico en el Hospital Universitario Reina Sofía de Córdoba
PALABRAS CLAVE: Hidatidosis abdominal, hidatidosis hepática, Quiste hidatídico, Echinococosis.
RESUMEN
La HIDATIDOSIS o EQUINOCCOCOSIS es una enfermedad clasificada dentro de las ciclozoonosis producida por el Echinococcus granulosus, llamada así ya que el agente infeccioso pasa por más de una especie vertebrada para completar su ciclo vital, existiendo relación directa o indirecta animal-hombre.
La hidatidosis es una enfermedad frecuente en muchas áreas de Andalucía por la población ganadera y profesionales dedicados a los productos cárnicos por lo que es importante conocer las distintas apariencias radiológicas en las diferentes técnicas de imagen, teniéndola en cuenta en el diagnóstico diferencial de lesiones quísticas abdominales.
La localización hepática es la más frecuente pero podemos visualizar Quistes Hidatídicos a cualquier otro nivel abdominal
Es importante reconocer las complicaciones tanto prequirúrgicas como postquirúrgicas ya que van a cambiar la conducta terapéutica a seguir.
OBJETIVO
Realizamos una revisión de los hallazgos radiológicos más característicos de esta zoonosis en las diferentes técnicas de imagen encontrados en nuestro hospital, revisando las formas de presentación hepáticas más frecuentes así como otras formas de presentación menos frecuentes extrahepáticas. Se valoran las complicaciones pre y postquirúrgicas encontradas con más asiduidad.
METODOLOGÍA
Revisamos retrospectivamente en los últimos 10 años todos los pacientes intervenidos de hidatidosis abdominal en el Hospital Comarcal Valle de los Pedroches (55 pacientes) valorando:
Motivo de consulta,
Forma de presentación de la enfermedad,
Prueba de Imagen diagnóstica utilizada,
Tratamiento realizado,
Complicaciones del mismo
DISCUSIÓN:
1.- El Diagnóstico se realiza teniendo en cuenta:
- Sintomatología: esta patología puede ser asintomática en un porcentaje elevado de los pacientes, siendo la clínica más frecuente el dolor en hipocondrio derecho (HCD) y epigastrio apareciendo fiebre tan solo en sobreinfecciones. Cuando los quistes pasan desapercibidos durante mucho tiempo pueden diagnosticarse con gran tamaño siendo la palpación de masa el hallazgo principal, aunque antes suelen dar molestias por compresión. En raras ocasiones la rotura de los quistes puede producir reacciones anafilácticas e incluso shock.
- Detección de Anticuerpos séricos específicos contra el parásito en sangre mediante Test Inmunológicos (ELISA e INMUNOELECTROFORESIS): Su negatividad no descarta la existencia de Quiste Hidatídico
- Presencia de Eosinofilia en sangre
- Prueba de Imagen (ecografía, TC o resonancia magnética (RM)) o incluso obtención de líquido del quiste mediante PAAF guiada por Ecografía o TC:
1.- La ECOGRAFÍA es la técnica más sensible para detectar las membranas, septos y arena hidatídica en el interior del quiste. Se utilizada como prueba inicial en la mayoría de los pacientes

Quiste Hidatídico con material hipodenso homogéneo y pared parcialmente calcificada

Quiste hidatídico con vesículas hijas hipodensas en su interior
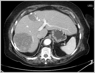
2.- La TC es mejor para mostrar la calcificación de la pared del quiste, y descartar complicaciones pre y postquirúrgicas (signos de sobreinfección del quiste o siembra peritoneal). Se puede usar como técnica inicial de diagnóstico pero es más útil reservarla como complementaria.

Quistes Hidatídicos hepáticos no complicados con pared parcialmente calcificada
3.- La resonancia magnética (RM) identifica el característico anillo hipointenso de los quistes hidatídicos en imágenes potenciadas en T2. Muestran restricción a la difusión del movimiento de las partículas y valores inferiores del coeficiente de difusión aparente (ADC) debido al contenido viscoso que presentan (“arenilla hidatídica”). Sólo se suele utilizar como prueba complementaria en casos complicados para planificar la cirugía.

Resonancia magnética (RM), Secuencia T2 en la que se visualiza la típica imagen de quiste hidatídico con cápsula muy hipodensa y vesícula hijas en su interior.