Tratamiento del carcinoma microcitico de vejiga. Aportacion de 3 casos y revision de la literatura
Tratamiento del carcinoma microcítico de vejiga. Aportación de 3 casos y revisión de la literatura.
Autores: Beatriz González Astorga, Aranzazu González Vicente, Cynthia González Rivas, Victoria Castellón Rubio, Jesús Soberino García, Raquel Luque Caro.
Servicio Oncología Médica, Hospital Virgen de las Nieves, Granada (España).
Resumen:
Introducción y objetivo:
Al igual que ocurre en el carcinoma microcítico de pulmón, el carcinoma microcítico de vejiga se caracteriza por un comportamiento clínico agresivo, metastatizando precozmente y con un pobre pronóstico. El tratamiento óptimo de estos pacientes aún es incierto. Los pacientes que reciben esquemas de platino tienen un mejor pronóstico. El objetivo de este estudio es analizar las diferentes modalidades terapéuticas del carcinoma microcítico de vejiga localmente avanzado.
Material y métodos: Presentamos 3 casos de tumores microcíticos de vejiga, estadio avanzado tratados en el Hospital Universitario Virgen de las Nieves de Granada y su diagnostico, estadiaje y tratamiento.
Resultados: Los tres pacientes fueron catalogados como estadio IV, pero sin metástasis a distancia. En el primer paciente el tratamiento consistió en cistectomía radical y quimioterapia adyuvante. Los otros recibieron quimioterapia de inducción seguida de quimiorradioterapia concurrente. En los tres el esquema de quimioterapia fue platino-etopósido.
Conclusión: Esta entidad es de difícil manejo terapéutico debido a la escasa bibliografía publicada y a la falta de estudios prospectivos randomizados. No hay un tratamiento estándar y las recomendaciones de manejo se extraen de casos individuales, de revisiones retrospectivas de series de casos o del tratamiento del carcinoma microcítico de pulmón.
Palabras clave: carcinoma microcítico; vejiga; quimioterapia; tratamiento.
Abstract:
Background and objective: As well as it happens in small-cell carcinoma of the lung, small-cell carcinoma of the urinary bladder is characterized by an aggressive clinical course, early metastasis and a poor prognosis. The best treatment for these patients is still unclear. Patients that receive platinum based chemotherapy have a better prognosis. The aim of this study is to analyze the different therapeutic modalities of small cell carcinoma of locally advanced bladder. Material and methods: We present three cases of small-cell carcinoma of the urinary bladder in an advanced stage treated at the Hospital Universitario Virgen de las Nieves in Granada; its diagnosis, stage and treatment. Results: The three patients were classified as stage IV without metastasis. In the first patient the treatment consisted in a radical cystectomy and adjuvant chemotherapy. The other two received induction chemotherapy followed by concomitant chemoradiotherapy. The three patients received platinum-etoposide chemotherapy. Conclusion: This type of cancer is difficult to treat because of the lack of prospective randomized clinical trials or any other publication. There is no standard treatment and recommendations for the management are based on individual cases, retrospective series of cases or the treatment of small-cell carcinoma of the lung.
Keywords: small cell carcinoma; urinary bladder; chemotherapy; treatment.
Introducción:
El primer caso de carcinoma microcítico de vejiga fue publicado por Cramer et al. [1] en el año 1981. Esta estirpe histológica supone menos del 1% del total de los tumores de vejiga [2]. Acontece tres veces más en varones, entre los 50 y 60 años. En el estadiaje es necesario la TAC de tórax-abdomen-pelvis, para descartar un tumor primitivo pulmonar y para delimitar la relación con las estructuras vecinas y planificar una posible cirugía. No hay clasificación de estadiaje aparte y se usa el mismo TNM que para el carcinoma de células transicionales. La mayoría se diagnostican como enfermedad avanzada y el pronóstico es sombrío. No existe un tratamiento estándar para este tipo de tumores y es difícil realizar estudios randomizados bien diseñados debido al escaso número de casos. Recogemos el abordaje terapéutico de todos los casos de tumores microcíticos de vejiga enfermedad avanzada pero sin metástasis a distancia, tratados en nuestro centro en los últimos 5 años.
Caso 1:
Varón de 76 años, con hipertensión arterial (HTA), que inició estudio por hematuria. Una ecografía vesicoprostática observó lesiones sospechosas en pared vesical izquierda, comprobándose en el TC abdominopélvico un engrosamiento de 3 cm sin afectación ureteral ni adenopatías. Se realizó resección transuretral (RTU) con toma de biopsia. El resultado fue carcinoma anaplásico que infiltra muscularis. El estudio de extensión fue negativo, cT2N0M0. Se sometió a cistoprostatectomía radical, linfadenectomía obturatriz bilateral, apendicetomía y derivación urinaria tipo Bricker-Wallace II.
El resultado anatomopatológico definitivo informó: carcinoma anaplásico de células pequeñas de 6'5x6'5 cm que infiltra en todo su espesor la pared vesical, próstata, vesículas seminales, conductos deferentes, uréteres, tejido adiposo perivesical, apéndice y tejido prerrectal, libres de infiltración tumoral. Metástasis es 1 de las 14 adenopatías aisladas (en cadena obturatriz izquierda). El estadio patológico fue pT3pN1, estadio IV. Se administró quimioterapia adyuvante, según esquema carboplatino AUC 5 día 1 y etopósido 100 mg/m2 días 1 a 3 cada 21 días por 4 ciclos. Tras un seguimiento de 4 años y 4 meses el paciente no muestra evidencia de enfermedad.
Caso 2:
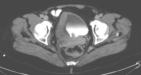
Varón de 56 años, con antecedentes personales de EPOC, tabaquismo, enolismo y tumoración vesical urotelial superficial diagnosticado seis meses antes y tratado con mitomicina y BCG intravesical. En la reevaluación con resección transuretral (RTU), la biopsia resultó positiva para carcinoma neuroendocrino de alto grado que infiltraba cuello de uretra, próstata, fondo de vejiga, pared lateral derecha y trígono. El TC toracoabdominopélvico informó de engrosamiento de la pared posterolateral izquierda de la vejiga con posible infiltración de la grasa perivesical y adenopatías bilaterales en cadenas ilíacas internas. Se catalogó como un cT4aN2M0 (estadio IV) y se administró quimioterapia de inducción con cisplatino 100 mg/m2 día 1 y etopósido 120 mg/m2 días 1 a 3 cada 21 días. Tras 4 ciclos la reevaluación muestra respuesta completa y el paciente continúa tratamiento con 2 ciclos del mismo esquema de quimioterapia y radioterapia concurrente. Recibe irradiación externa conformada tridimensional utilizando fotones de 18 Mv de ALE sobre volumen pélvico global recibiendo una dosis de 50.4 Gy en fracciones de 1.8 Gy/dia, seguido de sobredosificación en vejiga de 14.4 Gy con el mismo fraccionamiento (dosis total en vejiga de 64.8 Gy). Tras 3 años de seguimiento el paciente no muestra evidencia de enfermedad.
Figura 1: Engrosamiento de la pared inferolateral derecha de la vejiga urinaria.
