Revision de tema. Trauma toracico.
RESUMEN
El traumatismo torácico es una entidad patológica emergente, relacionada con accidentes automovilísticos. La lesión más frecuente es la fractura costal. Dependiendo de su gravedad, éste puede provocar tórax volante, contusión cardíaca, lesiones vasculares u otras alteraciones. La ruptura bronquial se observa ocasionalmente en traumatismos torácicos cerrados, y por lo general tiene lugar en el tronco principal del árbol tráqueo-bronquial. Su diagnóstico y manejo inicial representan un problema mayor. Los signos clásicos son la persistencia de neumotórax y flujo masivo de aire a través del drenaje torácico; sin embargo también hay casos que no son típicos. Es difícil determinar el momento correcto para iniciar la ventilación mecánica con presión positiva, la que puede aumentar gravemente el flujo de aire a través de la ruptura bronquial y acentuar el neumotórax a tensión.
INTRODUCCIÓN:
El traumatismo torácico es un problema emergente de las grandes ciudades al aumentar los accidentes de tránsito. Parte de la energía del impacto se libera en la pared, causando frecuentemente fracturas costales, pero casos más graves pueden producir tórax volante, contusión cardiaca, lesiones vasculares y otras alteraciones dentro del tórax. Las fracturas bronquiales son una complicación ocasional del traumatismo de alta energía, suceden principalmente en los segmentos proximales al nacimiento de los bronquios fuente, imponen dificultad en su detección y un serio desafío en el manejo inmediato.
Si bien el diagnóstico se plantea frente a una filtración aérea continua por el drenaje pleural, sin expansión del pulmón colapsado, las manifestaciones también pueden ser solapadas y poco específicas. El momento oportuno de intubar la vía aérea y ventilar con presión positiva (VPP) es una decisión compleja y vital, ya que aumenta dramáticamente la fuga masiva de aire a la cavidad torácica 1,2.
Dentro de los traumatismos torácicos con alta liberación de energía, las lesiones traqueo-bronquiales no son comunes, de hecho la verdadera incidencia es desconocida, estimándose una frecuencia de 2,9 a 5,8% de todos los traumatismos torácicos, sobre la base de series publicadas. En 3.100 traumatismos de tórax cerrados en 27 años, López Espada describió sólo tres fracturas traqueales y 3 rupturas de bronquio fuente (0,2%)3. En una revisión efectuada por Kiser el año 2001, detectó que se habían publicado sólo 265 pacientes con fracturas bronquiales entre 1873 y 1964. En el mundo actual, los accidentes automovilísticos son la principal causa de estas lesiones.
En muchos pacientes el diagnóstico es necrópsico y otros sólo desarrollan síntomas de forma diferida 4. Burke comunica un incremento en la incidencia asociado al uso de transportes de alta velocidad y a un mejor manejo 5. La mayor parte de los casos ocurre en varones menores de 40 años, con una relación varón-mujer de 3:1 6-10.

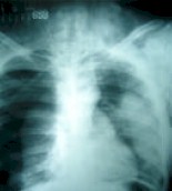
Figura 1: Se observa lesión pulmonar con zona radio opaca en lóbulo medio del pulmón izquierdo (hematoma) y ausencia de parénquima pulmonar en hemitórax derecho (signo del pulmón caído).
Dada la protección que proporcionan las escápulas, la columna y la caja torácica, al árbol traqueo-bronquial rara vez se lesiona11, y existen varias teorías para explicar el mecanismo de rotura12. La compresión súbita del tórax provoca una disminución de su diámetro antero-posterior con aumento del transversal. El movimiento lateral arrastra los pulmones, con tracción y rotura de tráquea y carina cuando esta fuerza excede la elasticidad del árbol traqueo-bronquial. Tráquea y
bronquios principales son aplastados entre el esternón y la columna vertebral cuando la glotis está cerrada, con incremento de la presión intrabronquial. La desaceleración origina un cizallamiento donde el árbol traqueo-bronquial está fijo, cricoides y carina, respecto a los bronquios principales. Afecta a bronquios principales a 2,5 cm de la carina, según la ley de Laplace: la presión en la pared de una estructura hueca aumenta en relación a su radio10. Se dividen en parciales o totales, si afectan a parte o a toda la circunferencia, y en completas o incompletas, si abarcan o no a todo el espesor de la pared. Habitualmente transversas, pueden ser longitudinales en la tráquea membranosa y la pared bronquial posterior, con cartílago menos presente1. Predomina la rotura del bronquio principal derecho 13-16.
Se debería esperar una alta incidencia de lesiones intratorácica asociadas17, pero sólo se presentan en el 50% de los casos18. En 1964 Dor et al, citados por Leguerrier et al19, insistían en la frecuente asociación de fractura de la primera costilla. Sin embargo, en un estudio predictivo se encuentra una muy baja asociación (2%) 20. Pueden existir lesiones intratorácicas sin fracturas óseas en traumatismo cerrado21.
EFECTOS DE LAS LESIONES
Las lesiones torácicas, de acuerdo con los factores mencionados, pueden ser clasificadas en tres grupos, a saber22:
1. Rápidamente letales, que producen la muerte instantánea o en pocos minutos.
2. Potencialmente letales, en las que el 50% de los pacientes fallecen, algunos de ellos, el 30%, mueren en pocas horas, generalmente por hemorragia, y el 20% restante, en el curso de pocos días por sepsis o falla multisistémica.
3. No necesariamente letales.
DIAGNOSTICO
ASPECTOS CLINICOS:
Inspección. Calor de la piel, estado mental, tipo de respiración, colapso o dilatación de las venas periféricas, tórax inestable.
Palpación. Crepitación por enfisema subcutáneo, ausencia de vibraciones vocales, luxaciones o fracturas óseas, examen manual de la laringe y la tráquea cervical, valoración manual del abdomen.
Auscultación. Ausencia de ruidos respiratorios (por neumo o hemotórax), evaluación de los ruidos cardíacos, especialmente del tono de los mismos.
Percusión. Matidez torácica (colección anormal de líquido) o resonancia exagerada (neumotórax).
Excepto en los casos de neumotórax a tensión, taponamiento cardíaco y hemotórax masivo, el estudio radiológico es de gran valor para la evaluación de las lesiones torácicas.