Patologia de los ovarios. Tumores.6
Tumores mucinosos malignos


Los tumores mucinosos malignos, macroscópicamente contienen en general algunas áreas sólidas u otras con proyecciones papilares. Microscópicamente se ven papilas revestidas por células altas productoras de moco (mucinosos).
Tumores endometrioides
Descripción macroscópica:
La mayoría de los tumores endometrioides son carcinomas. Presentan una mezcla de áreas sólidas y quísticas. El 40% afecta a ambos ovarios y este carácter bilateral suele implicar una extensión de la neoplasia del aparato genital femenino.

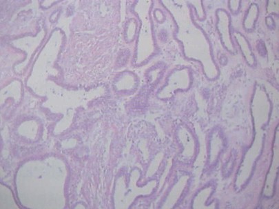
Descripción microscópica:
Los patrones glandulares tienen gran parecido con los que presentan de origen endometrial.

Tumores endometrioides malignos
· 2 a 30 centímetros
· Sólidos
· Áreas de necrosis
· Se asocian a cáncer de endometrio entre 15 a 50%

