Frecuencia de traumatismos dentales en soldados de 17 a 22 años del municipio de Cienfuegos .13
Anexo 5
Imágenes
Fractura complicada de corona

Fractura de corona y raíz

Intrusión con fractura coronaria

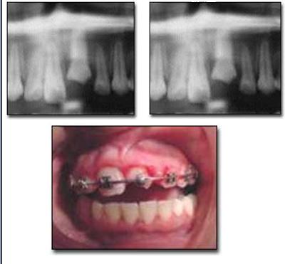
Caso clínico de intrusión con fractura en diente tratado endodónticamente, el diente contiguo se perdió por avulsión. El diente intruído fue traccionado ortodóncicamente con arcos de níquel titanio.

Luxación lateral extrusiva

Avulsión del 21 y 22

Rehidratación en solución reconstituyente

Tratamientos de conducto extraorales

Reimplantación del 21 y 22
